로그인 회원가입
고객상담
진료시간표

 

 

 

전후사례

더보기
  • 돌출입
  • 덧니
  • 성장기 주걱턱
  • 성장기 무턱
  • 앞니 개방교합
  • 과개교합
  • 어금니 반대교합
  • 치아사이 공간
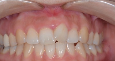
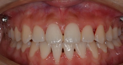
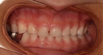
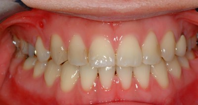
  • 성장기 돌출입교정 시술 전
    성장기 돌출입교정 시술 후
    [ 성장기 돌출입교정 ]
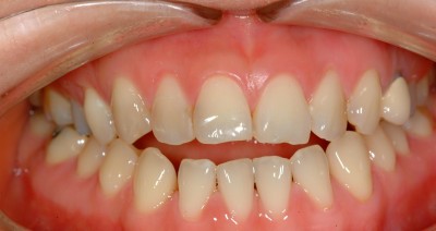
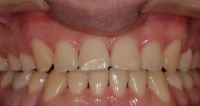
  • 심한 돌출입 시술 전
    심한 돌출입 시술 후
    [ 심한 돌출입 ]
  • 성인 돌출입교정 시술 전
    성인 돌출입교정 시술 후
    [ 성인 돌출입교정 ]
  • 돌출입과 벌어진 앞니 시술 전
    돌출입과 벌어진 앞니 시술 후
    [ 돌출입과 벌어진 앞니 ]
  • 성장기 돌출입교정 시술 전
    성장기 돌출입교정 시술 후
    [ 성장기 돌출입교정 ]
  • 측절치 덧니 시술 전
    측절치 덧니 시술 후
    [ 측절치 덧니 ]
  • 덧니 발치 교정 시술 전
    덧니 발치 교정 시술 후
    [ 덧니 발치 교정 ]
  • 덧니 발치 교정 시술 전
    덧니 발치 교정 시술 후
    [ 덧니 발치 교정 ]
  • 덧니 발치 교정 시술 전
    덧니 발치 교정 시술 후
    [ 덧니 발치 교정 ]
  • 덧니 비발치 교정 시술 전
    덧니 비발치 교정 시술 후
    [ 덧니 비발치 교정 ]
  • 미니플레이트를 이용한 성장기 주걱턱교정 시술 전
    미니플레이트를 이용한 성장기 주걱턱교정 시술 후
    [ 미니플레이트를 이용한 성장기 주걱턱교정 ]
  • 성장기 주걱턱교정 시술 전
    성장기 주걱턱교정 시술 후
    [ 성장기 주걱턱교정 ]
  • 성장기 주걱턱교정 시술 전
    성장기 주걱턱교정 시술 후
    [ 성장기 주걱턱교정 ]
  • 성장기 주걱턱교정 시술 전
    성장기 주걱턱교정 시술 후
    [ 성장기 주걱턱교정 ]
  • 어린이 주걱턱교정 시술 전
    어린이 주걱턱교정 시술 후
    [ 어린이 주걱턱교정 ]
  • 성장기 무턱교정 시술 전
    성장기 무턱교정 시술 후
    [ 성장기 무턱교정 ]
  • 원인불명의 개방교합 시술 전
    원인불명의 개방교합 시술 후
    [ 원인불명의 개방교합 ]
  • 혀자세에 의한 개방교합 시술 전
    혀자세에 의한 개방교합 시술 후
    [ 혀자세에 의한 개방교합 ]
  • 혀내밀기에 의한 앞니 개방교합 시술 전
    혀내밀기에 의한 앞니 개방교합 시술 후
    [ 혀내밀기에 의한 앞니 개방교합 ]
  • 비대칭 잇몸노출 시술 전
    비대칭 잇몸노출 시술 후
    [ 비대칭 잇몸노출 ]
  • 어금니 반대교합과 아래턱 비대칭 시술 전
    어금니 반대교합과 아래턱 비대칭 시술 후
    [ 어금니 반대교합과 아래턱 비대칭 ]
  • 성인 앞니 반대교합, 어금니 반대교합 시술 전
    성인 앞니 반대교합, 어금니 반대교합 시술 후
    [ 성인 앞니 반대교합, 어금니 반대교합 ]
  • 성인 앞니, 어금니 반대교합 시술 전
    성인 앞니, 어금니 반대교합 시술 후
    [ 성인 앞니, 어금니 반대교합 ]
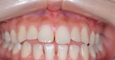
  • 겹친 앞니 시술 전
    겹친 앞니 시술 후
    [ 겹친 앞니 ]